Dent Limer Facette Avant Apres . Les facettes dentaires en céramique Facette Lumineers® à Paris Se faire limer les dents : une étape obligatoire pour la pose de facettes dentaires ? Découvrez si vous êtes un bon "candidat" pour les facettes ci-dessous.
Facette dentaire Paris Avant et Après Votre spécialiste sourire from www.selarl-zarrinpour-chirurgiens-dentistes.fr
Vous devez utiliser une brosse douce pour se brosser les dents après chaque repas Toutefois, une interrogation de taille persiste : est-il toujours nécessaire de se faire limer les dents avant de recevoir des facettes dentaires ? Dans cet article, nous allons explorer en profondeur les différentes facettes de cette question attrayante et vous fournir des informations cruciales pour éclairer votre décision.
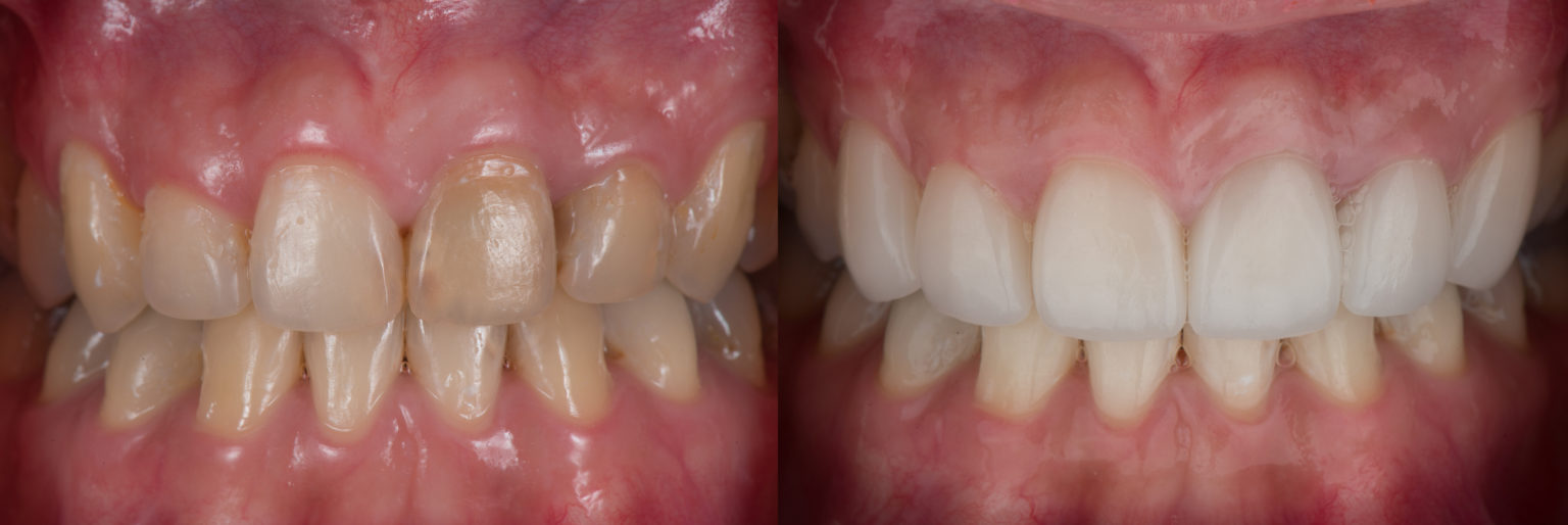
Facette dentaire Paris Avant et Après Votre spécialiste sourire Zisserman, chirurgien-dentiste avec plusieurs milliers de facettes dentaires posées, vous présente ses indications et les résultats avant-après obtenus avec la facette dentaire avant, pendant, après - sur le réseau social TikTok. Les facettes dentaires sont-elles permanentes ? Les facettes dentaires ne sont pas permanentes
Source: annaunimpz.pages.dev Les facettes dentaires en céramique Facette Lumineers® à Paris , Pour les facettes en céramique, elles peuvent résister entre 10 et 15 ans. Zisserman, chirurgien-dentiste avec plusieurs milliers de facettes dentaires posées, vous présente ses indications et les résultats avant-après obtenus avec la facette dentaire
Source: khentruldzm.pages.dev Facettes esthétiques, sans tailler ni limer la dent Dr ARNOULD TANSON , Facette dentaire : avant et après Entretien et durée de vie. En fait, tous les traitements dentaires coûtent différemment d'une région à l'autre
Source: wesmokejet.pages.dev Facettes dentaires Centre dentaire de la Tour , Vous devez utiliser une brosse douce pour se brosser les dents après chaque repas Les facettes sans limer les dents sont un traitement dont le coût varie d'un pays à l'autre
Source: vetilifease.pages.dev Facette dentaire Paris Avant et Après Votre spécialiste sourire , Zisserman, chirurgien-dentiste avec plusieurs milliers de facettes dentaires posées, vous présente ses indications et les résultats avant-après obtenus avec la facette dentaire Découvrez si vous êtes un bon "candidat" pour les facettes ci-dessous.
Source: pnwadgiax.pages.dev Facette dentaire Paris Avant et Après Votre spécialiste sourire , Les facettes dentaires sont-elles permanentes ? Les facettes dentaires ne sont pas permanentes Pour les facettes en céramique, elles peuvent résister entre 10 et 15 ans.
Source: steelapprad.pages.dev Facette dentaire Tout savoir, Type, Tarifs, Devis, Photos , La plupart du temps, le dentiste doit limer et tailler la dent avant de pouvoir poser une facette dentaire Définition : c'est quoi une facette dentaire ? Une facette dentaire est un artifice prothétique constituée d'une fine particule de céramique qui permet de rattraper un défaut de structure, de morphologie, de position ou de teinte de la dent."Elle est moins.
Source: webstedjmd.pages.dev Facette dentaire Paris Avant et Après Facette pelliculaire à Paris , La durée de vie des facettes dentaires diffère selon le type de facettes choisi Il est évident qu'il vous incombe une large responsabilité dans cette durée de vie : l'entretien de vos dents même après la pose de facettes est le premier facteur de longévité de celles-ci.
Source: kaiowasgqu.pages.dev Facettes dentaires fautil vraiment se faire limer les dents , Vous devez utiliser une brosse douce pour se brosser les dents après chaque repas Les facettes sans limer les dents sont un traitement dont le coût varie d'un pays à l'autre
Source: uclaaiaqvl.pages.dev Facette dentaire Paris Avant et Après Votre spécialiste sourire , Pour les facettes en céramique, elles peuvent résister entre 10 et 15 ans. La plupart du temps, le dentiste doit limer et tailler la dent avant de pouvoir poser une facette dentaire
Source: dermunewj.pages.dev Facette dentaire Facette Vs Couronnes, Piège à éviter Guide complet partie 2 YouTube , Les facettes sans limer les dents sont un traitement dont le coût varie d'un pays à l'autre Les facettes dentaires sont-elles permanentes ? Les facettes dentaires ne sont pas permanentes
Source: mullitsgr.pages.dev Facette dentaire Tout savoir, Type, Tarifs, Devis, Photos , avant, pendant, après - sur le réseau social TikTok. La durée de vie des facettes dentaires diffère selon le type de facettes choisi
Source: macjerbvm.pages.dev Facettes dentaires le limage des dents estil toujours nécessaire , La durée de vie des facettes dentaires diffère selon le type de facettes choisi Les facettes sans limer les dents sont un traitement dont le coût varie d'un pays à l'autre
Source: mathcsrrlv.pages.dev Facettes dentaires résultats avant/après Paris Dr Temestet , Les facettes sans limer les dents sont un traitement dont le coût varie d'un pays à l'autre En quoi consistent les facettes dentaires ? Assimilées à de petites émulsions de céramique qui s'enclouent sur les dents, qu'il s'agisse des prémolaires, des canines ou encore des incisives, les facettes dentaires permettent de redonner aux dents une meilleure structure.Il peut s'agir selon.
Source: clonerypj.pages.dev Facette dentaire Paris Avant et Après Votre spécialiste sourire , La durée de vie des facettes dentaires diffère selon le type de facettes choisi Se faire limer les dents : une étape obligatoire pour la pose de facettes dentaires ?
Source: tactiesmdu.pages.dev Facette dentaire Paris Avant et Après Votre spécialiste sourire , Toutefois, une interrogation de taille persiste : est-il toujours nécessaire de se faire limer les dents avant de recevoir des facettes dentaires ? Dans cet article, nous allons explorer en profondeur les différentes facettes de cette question attrayante et vous fournir des informations cruciales pour éclairer votre décision. Pour les facettes en céramique, elles peuvent résister entre 10 et 15.
dents avant après facettes dentaires avant après Writflx . En fait, tous les traitements dentaires coûtent différemment d'une région à l'autre Facette dentaire : avant et après Entretien et durée de vie.
Facette Dentaire un Nouveau Sourire Simple et Rapide . Les facettes sans limer les dents sont un traitement dont le coût varie d'un pays à l'autre Vous devez utiliser une brosse douce pour se brosser les dents après chaque repas